Nyheder:

Velkommen til Ferretopia!
Ris, ros, forslag og hjælp til Ferretopia foregår i Feedback.

Hovedmenu

Meeps hvalpe (ultralyd)

Startet af Anne, 20. April 2012, kl. 23:07

Anne

Jeg har simpelthen haft den mest fantstiske dag i dag!

I går var Dolly på besøg, og vi fik selvfølgelig snakket en masse om Meep og hendse drægtighed, det var suuper hyggeligt :D

I dag ringede Marianne så at hun tog til Esbjerg og fik scannet Arya, jeg prøvede at nasse mig ind, men det gik ikke helt, og jeg skulle jo alligevel også lige lave rosetterne til naturhistorisk færdig og så må man jo bare vente... Men bedst som jeg så sad og lavede rosetter så fik jeg den mest fantastiske besked fra Dolly! Hun havde fået lov at låne scanneren på dyrehospitalet og spurgte om jeg kunen være der ved lukketid, så vi kunne kigge ind i Meep! prøv lige at gætte hvem der pludselig var smil op til begge ører og dansede rundt! Jeg havde jo netop fortalt hende i går hvor meget jeg ønskede mig en scanning, men hellere ville gemme pengene til dyrlægeregninger!

Så jeg, Hessel og Meep troppede op på Aalborg dyrehospital og så skulle der scannes! Vi fandt 3 hvalpe, og jeg synes selv jeg har mærket 4, måske 5. En skanning siger jo ikke hvor mange der kommer, da det ikke er sikkert man finder alle, men der ER hvalpe i hende! Jeg så små hjerter der slog og små hvalpe der moslede rundt  <3 <3 Det er simpelthen det mest fantastiske jeg har prøvet  <3 <3 <3 <3 <3 Norh men hvor var de bare søde!

Og for så at gøre det hele bedre, så lavede Dolly en cd til mig med små videoklip af dem. man kan desværre ikke lægge dem herind, men jeg har taget screenshots, så I alligevel kan se hvordan sådan nogle ser ud når de er inde i maven!

Behøver jeg at sige at Dolly er min helt i dag? Jeg sprugte hende selvfølgelig om det var ok jeg skrev at det var hende jeg havde fået det af, og det har jeg fået lov til, men skulle lige huske at sige at det ikke er noget hun gør for andre. Men jeg kan virkelig godt anbefale at man får lavet en scanning af sin tæve, hvis man synes man har råd. Det er virkelig det bedste i verden!

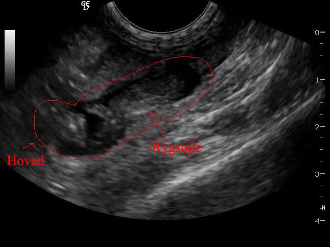
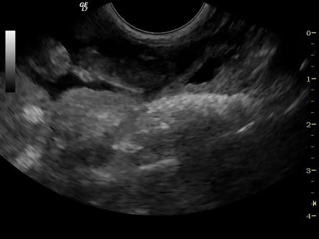
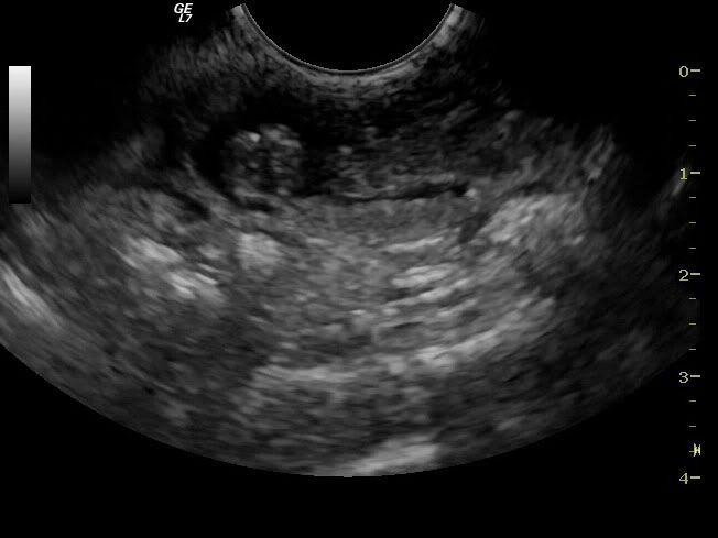
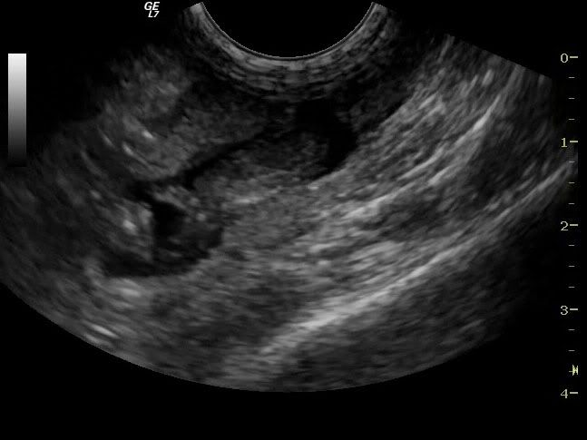
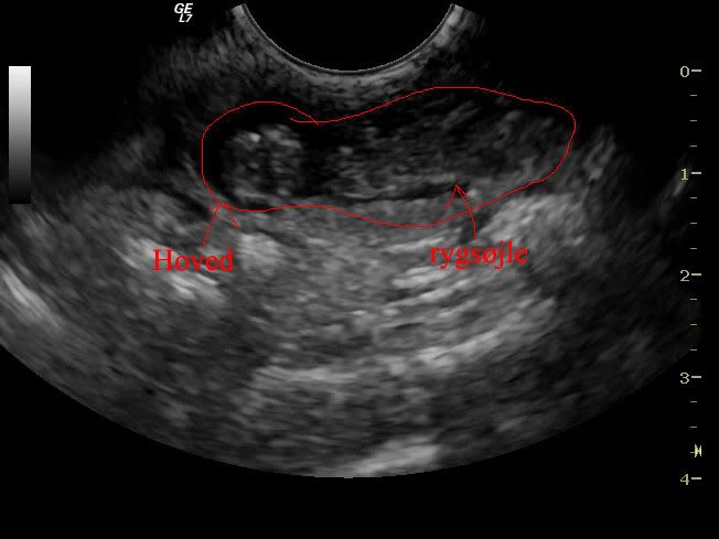
Her er en lille hvalp :D


Og her har jeg tegnet rundt om den så folk kan navigere


og endnu en :D


med streger


Og så nok det bedste screenshot jeg kunen tage, jeg synes den er ret tydelig :D Den ligger med ryggen til


med streger

Tanja11

det må godt nok have været en dejlig dag :D
Calcifer <3

R.I.P. Futte og Tykke

Amazing Ferret

Jeg synes det ville være spild af mine penge....enten er de drægtige eller også er de ikke  :fnis:

Men jeg synes det er dejligt at du havde sådan en dejlig oplevelse med det  :D

the bird

nej hvor ser de fine ud, kan godt forstå du hopper glad rundt :lol: er spændt på hvor mange hun gemmer på derinde :dans:

Malene

Hvor er det bare fedt :D
Tillykke med dem!
Logic is the beginning of wisdom, not the end.

Shamua

Jeg ved nu ikke om jeg synes det er spild af penge, jeg synes det er meget spændende at se hvad der er i vente og om der er mange eller få  :)

Rigtig fedt at hun tilbød sin hjælp :D Det er 100 gange bedre end det jeg fik, så det var godt du ikke tog med mig hjem :P

Vh. Marianne

Anne

Nu fik jeg det jo gratis, ellers havde jeg ikek gjort det, men kunne måske godt finde på det en anden gang, for det var virkelig noget særligt, og så var det da også lidt hyggeligt at det var sammen med Dolly og bare stille og roligt :D

Hehe Marianne du er sød :D men i det mindste så du også hvalpe, og det er det vigtigste!

Julie

Hvor er det bare fedt gjort af Dolly, og hvor dejligt for dig Anne :D

Dyrenørden

Synes det nogen fine billeder og dejligt at du deler med os andre så vi kan se hvordan sådan en scanning ser ud :)

KariN

Hvor fedt at du lægger billeder af det herind Anne :D Det er da spændene at se hvordan de ser ud inde i hendes mave :D

Det lyder til at have været en dejlig oplevelse :D

Hvordan tog Meep det?
Sov Sødt mine elskede pelsbørn; Julian, Cassiopeia, Naanok & Kaos, tak for alle de gode år og minder <3 I Lever videre i mit hjerte <3

FerretParadise

Tusind tak Anne fordi du deler din oplevelse, glæde og ikke mindst billederne med os andre herinde.
Jeg synes det er nogle super gode billeder, det er rigtig spændende at se.  :)

Hvis det var noget billigere, at få scannet sin tæve, så kunne jeg godt overveje det på dem hvor jeg er i tvivl om de er drægtige.
Men jeg vil ikke betale de 1700 kr eller hvor meget KVL nu tager for en scanning, de penge kan jeg sagtens bruge på noget andet.  :fnis:
Ann Hillerslev.

Dark Crystal Ferret

Tillykke med det Anne - hvor er det bare fedt.
Jeg drømte også om at få lavet en ultralyd på vores tæver, men det kostede simpelthen for meget hos vores dyrlæger, så det blev aldrig til noget.
Men jeg syndes det er rat at vide om man kan gå og glæde sig til der rent faktisk kommer hvalpe, eller om det er en misser. Forstår godt du ønskede dig, og hvor er det herligt at Dolly var så sød til at hjælpe :)

Barky

Ej...!! Jeg vil vildt gerne se videoklippet..!! jeg sad her forleden og søgte forgæves på nettet efter den franske hjemmeside hvor en opdrætter havde lagt videoklip ud af hvalpene ved ultralyd..

Er det formatet som er forkert? Så kan man downloade en video converter, det har jeg måttet gøre til nogen af mine videoer..

Og sidst men ikke mindst... SKØØØØØØØØØØNNE nyheder!!! :D :D :D :D
Bla bla bla.... Hilsen Julia

Anne

1000 tak for roserne alle sammen :D

Karina: jeg ville ønske vi havde filmet hele sessionen, både fordi jeg simpelthen var så glad, Dolly var glad, Hessel var så begejstret som han nu lige kan blive for sådan noget og udover det så tog Meep det bare så fint, hun fik vitaminpasta og så lå hun ellers bare og slikkede det i sig mens Dolly kunne scanne uden problemer.

Ann: ja det er mega dyrt, og jeg havde heller ikek gjort det hvis jeg ikke lige havde fået denne helt unikke mulighed, men det er virkleig den bedste gave jeg har fået længe. Tvangsindlagde også folk på naturhistorisk til at se videoerne :P Jeg håber jeg bliver bedre i stand til at styre mig hvis der en dag kommer en menneskebaby, men det er nok tvivlsomt.... Er godt nok overrasket over mig selv over hvor glad jeg bare bliver af at tænke på de små filmklip og hvor stort et smil jeg får på når jeg ser klippet af en af hvalpene der ligger og "graver".

Julia: nej det er ikek formatet. Det er fordi det er sådan en cd med en masse data, men så skal man klikke på den og så ser man det på nettet. Man kan ikke gemme filmene eller noget, så tænkte på at finde et program der kan optage ens skærm.

Barky

Smart!! Jeg håber at det lykkes for dig! :D
Bla bla bla.... Hilsen Julia